Mes spécialités

PMA / Infertilité
Gynécologue obstétricien diplomé du DESC de médecine de la reproduction, je vous propose de réaliser un bilan de fertilité complet.
En fonction des résultats, le traitement peut +/- associer:
- des mesures hygiéno-diététiques,
- une stimulation ovarienne,
- une Insémination Intra utérine (IAC/IAD),
- Une ponction d’ovocytes avec FIV/ICSI et transfert d’embryon
- Une chirurgie de la fertilité
L’ensemble des échographies, gestes techniques de PMA et chirurgicaux sont réalisés par mes soins
Consultations possibles :
Première consultation AMP, infertilité
Consultation de suivi AMP, infertilité
Hystérosonographie
Hyfosy
Endométriose
Echographie bilan J3-J5
Echo monitoring pour ovulation
Echographie pelvienne
Chirurgie de la fertilité
Chirurgien gynécologue spécialisé en médecine de la reproduction, je mets mes compétences chirurgicales au service de l’amélioration de la fertilité féminine.
Je pratique principalement:
- La coelioscopie: Cette technique permet d’avoir un accès mini invasif aux trompes et aux ovaires.
Cela permet de prendre en charge: une obstruction des trompes en réalisant une fimbrioplastie, de réaliser une salpingectomie (retirer une trompe « malade ») en cas d’hydrosalpinx avant une éventuelle FIV, lever des adhérences pelviennes, faire un drilling ovarien dans le cadre du Syndrome des ovaires polykystiques, opérer des kystes ovariens). - L’Hystéroscopie opératoire: Cette technique permet d’avoir un accès mini invasif à la cavité utérine. Pour permettre l’implantation d’un embryon et pour diminuer les risques de fausses couches, la cavité utérine doit avoir une forme habituelle et être libre en son sein. L’hystéroscopie permet d’opérer les fibromes ayant un impact intra-cavitaire, les polypes, les malformations utérines tel que la cloison utérine, les synéchies).
Consultations possibles :
Chirurgie de la fertilité
Consultation pour avis chirurgie
Consultation post-opératoire


Échographie pelvienne 2D / 3D
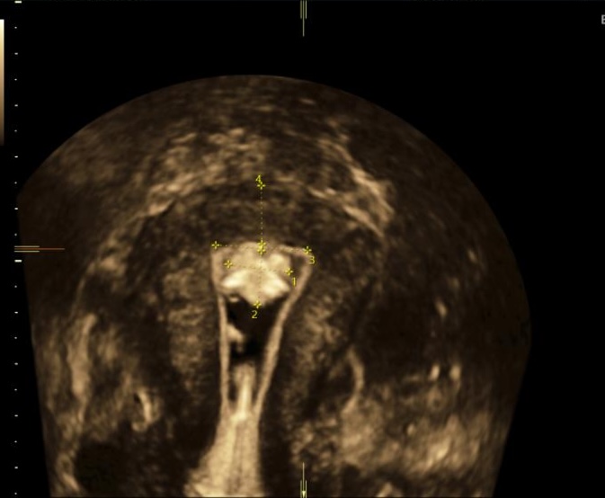
Lors du bilan de fertilité, je réalise:
- Une échographie pelvienne entre le 2ème et le 5ème jour des règles afin de vérifier que votre utérus est normal en 2D et reconstruction 3D, évaluer votre réserve ovarienne en réalisant le Compte des Follicules Antraux (CFA), vérifier que vos ovaires sont accessibles à une ponction d’ovocytes, et m’assurer de l’absence d’anomalie des trompes.
- Cette échographie peut être couplée à une hystérosonographie, réalisé dans ce cas entre le 6ème et le 12ème jour du cycle. L’hystérosonographie est l’injection de sérum physiologique dans l’utérus par voie vaginale pendant l’acquisition échographique 3D de votre utérus. Cette technique permet de rechercher des anomalies de la cavité utérine accessibles à la chirurgie et pouvant empêcher l’implantation d’un embryon ou le bon déroulement d’une grossesse ( fibromes, polypes, cloison utérine, synéchies).
- L’Hyfosy se réalise également entre le 6ème et le 12ème jour des règles, et peut se coupler aux deux techniques précédentes. Elle permet grâce à un produit de contraste échographique injecté par voie vaginale dans l’utérus (ExEm FoAm à se procurer en pharmacie avant la consultation) de s’assurer de la perméabilité des trompes
Consultations possibles :
Echographie pelvienne
Hysterosonographie
Echographie de monitoring de l’ovulation
Suivi et échographie de grossesse 2D/3D
Échographiste spécialisé en obstétrique, je vous propose un suivi clinique et échographique mensuel pendant toute la durée de votre grossesse.
- L’échographie de datation permet de s’assurer de la bonne localisation du sac gestationnel, de la présence d’un embryon, de le mesurer et d’écouter son activité cardiaque.
- L’échographie du 1er trimestre permet une première étude morphologique.L’embryon mesure 5 à 7 cm. C’est à ce stade que je vous propose le dépistage combiné de la trisomie 21 qui associe mes mesures échographiques aux données d’une prise de sang pour mettre votre embryon dans un groupe à risque ou non d’être porteur de cette maladie génétique. A ce stade, le sexe peut être prédit à 70%, je vous le confirmerai au 4ème mois. La déclaration de grossesse vous ai remis.
- L’échographie du 2ème et 3ème trimestre
Il s’agit d’une analyse morphologique de l’ensemble de votre fœtus en 2D +/- 3D en fonction des conditions d’examens, ainsi qu’une estimation de sa croissance et de sa position.
Consultations possibles :
Consultation de suivi de grossesse
Echographie de datation
Echographie obstétricale (1er trimestre)
Echographie obstétricale (2ème trimestre)
Echographie obstétricale (3ème trimestre)
Echographie obstétricale gémellaire

Consulter le Dr Jérémy Calvo
La prise de rendez-vous est ouverte à tous les patients et peut s’effectuer en ligne.

Des questions ?
Je regroupe les questions fréquentes que l’on me pose au cabinet afin de pouvoir les partager au plus grand nombre et ce dans le but d’informer, sensibiliser et vulgariser des sujets parfois difficiles à aborder.

Gynécologue – obstétricien spécialisé dans la médecine de reproduction

Conventionné Secteur 2 carte vitale, tiers payants et mutuelle acceptées

Vous accueille dans un Cabinet de Fertilité au coeur de Paris

La consultation vidéo est disponible via Doctolib




